Artrose do Joelho
A artrose é uma doença muito frequente na população e uma das principais causadoras de incapacidade. Afeta ao redor de 250 milhões de pessoas ao redor do mundo e é caracterizada por um acometimento degenerativo e progressivo das articulações.
A artrose, também conhecida como osteoartrose ou osteoartrite, tem um nome mais específico quando acomete o joelho: gonartrose.
A gonartrose é uma doença de progressão geralmente lenta, variando de 10 a 15 anos.

Fatores de Risco
Alguns fatores são relacionados a uma maior chance de desenvolver artrose. Os principais são:
1. Idade - A artrose acomete principalmente pacientes idosos, com mais de 65 anos de idade. Estudos da literatura mostram que a doença pode acometer mais de 75% da população com idade acima de 75 anos.
2. Sexo - Mulheres têm uma chance maior desenvolver artrose.
3. Obesidade - A obesidade é um fator de risco tanto para o surgimento quanto para a progressão da artrose, pois há uma sobrecarga mecânica constante no joelho e um processo inflamatório sistêmico.
4. Lesões articulares. Pacientes com lesões do joelho, como rupturas de ligamentos, lesões de meniscos e cartilagem, fraturas articulares, entre outras, tendem a desenvolver artrose mais precocemente.
5. Fatores hereditários. Aqueles relacionados à mutações genéticas que podem aumentar a predisposição do indivíduo a desenvolver artrose.
6. Fatores congênitos. Anormalidades anatômicas ao redor do joelho, com as quais o paciente nasce, que facilitam a degeneração articular.

O que o Paciente Sente
O paciente portador de artrose do joelho costuma sentir dor articular, que pode piorar de acordo com o tipo de atividade exercida, como caminhadas mais longas, agachamentos, carregar peso, entre outras. A dor é progressiva, piorando com o passar do tempo se nenhum tipo de tratamento for realizado. O paciente pode ter também ruídos articulares, como crepitação ao realizar movimentos de flexão e extensão, e deformidade do joelho.

Paciente com artrose do joelho e deformidade em varo.
Exames Complementares
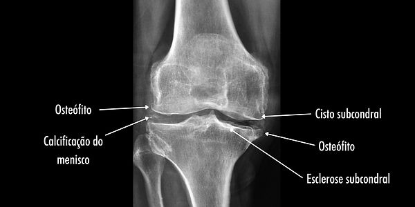
Alguns exames de imagem são importantes para auxiliar o médico no diagnóstico e na classificação da artrose do joelho. O principal deles é a radiografia simples do joelho, que pode mostrar alterações importantes, como as abaixo:


A radiografia panorâmica dos membros inferiores também é um importante exame de imagem utilizado para avaliar a artrose. Esse exame mostra o eixo do membro inferior acometido e serve para avaliar se há desvio importante em varo ou valgo. O joelho em valgo é também conhecido como joelho em "X", em que os joelhos estão mais próximos e os tornozelos estão mais afastados. Já o desvio em varo do joelho é caracterizado pelo afastamento dos joelhos e pela aproximação dos tornozelos.

Radiografia mostrando um caso de artrose associada a um desvio em valgo dos joelhos.
Tratamento
O tratamento inicial da artrose do joelho é baseado em medidas não operatórias como o uso de medicamentos, fisioterapia para melhora da dor e reequilibrar a musculatura ao redor do joelho e controle de peso corporal. É importante salientar que a obesidade tem uma relação direta com a artrose.
Hábitos Saudáveis
O paciente com artrose, principalmente nos casos não tão graves, pode realizar algumas atividades simples e potencialmente muito benéficas. A prática de exercícios leves, com pouco ou nenhum impacto é recomendada, como hidroginástica, natação, caminhadas, ginástica de grupo, entre outros.
Se o paciente tiver obesidade o tratamento adequado deve ser introduzido, o que envolve, além da prática esportiva mencionada acima, mudança de hábito alimentar e procura de auxílio específico. Nestas situações, recomendamos que o paciente passe por uma avaliação com um nutricionista e um médico endocrinologista para que esses profissionais possam auxiliá-lo neste processo.
Fisioterapia
O tratamento com fisioterapia é essencial para o paciente portador de artrose. Modalidades para melhora do quadro doloroso são usadas inicialmente e, quando o paciente apresenta uma melhora da dor, o reequilíbrio da musculatura do membro inferior é iniciada.
Medicamentos
Diversos medicamentos podem ser usados no tratamento da artrose.
Analgésicos, como o paracetamol e a dipirona, e anti-inflamatórias, como o cetoprofeno, nimesulida, diclofenaco sódico, celecoxibe, entre outros, são usadas mais frequentemente. É importante ressaltar que qualquer medicamento deve ser utilizado apenas após recomendação médica, já que há efeitos colaterais potencialmente graves relacionados ao uso.
Existem outras medicações disponíveis no mercado farmacêutico bastante discutidas, que são os chamados protetores de cartilagem ou condroprotetores. Trata-se da glicosamina e condroitina, diacereína, do colágeno, etc. O benefício ocasionado pelo uso dessas substâncias é muito discutível na literatura médica.
Infiltrações Articulares
As infiltrações intra-articulares são opções terapêuticas para a artrose do joelho.
Existem basicamente duas opções, os corticoesteroides e o ácido hialurônico, que são usadas de acordo com a gravidade da artrose.
As infiltrações articulares com corticoesteroires são realizadas há longa data e visam a diminuição do processo inflamatório provocado pela artrose. Ela pode ser realizada de forma ambulatorial, ou seja, no consultório, e geralmente promove uma melhora da dor articular. Contudo, infiltrações repetidas podem ser prejudiciais à articulação, provocando degeneração da cartilagem e dos ligamentos do joelho.
A infiltração com ácido hialurônico, ou viscossuplementação do joelho, também pode ser realizada no consultório. O procedimento é feito com o paciente deitado ou sentado, com o joelho flexionado 90 graus. A substância visa melhorar o processo inflamatório articular e as propriedades biomecânicas do líquido articular, funcionado como um lubrificante. Há diferentes opções de ácido hialurônico no mercado farmacêutico brasileiro.
Tratamento Cirúrgico
Quando há falha do tratamento não cirúrgico ou quando o paciente apresenta um quadro grave de artrose, algumas opções de tratamentos operatórios podem ser utilizadas.
ARTROSCOPIA. A artroscopia é uma forma de abordagem cirúrgica por vídeo, através da qual alguns problemas presentes no joelho dos pacientes com artrose podem ser tratados. Por se tratar de uma cirurgia não muito invasiva, a artroscopia é utilizada para o tratamento de lesões meniscais degenerativas, para a retirada de fragmentos de cartilagem soltos dentro da articulação, etc.
OSTEOTOMIAS. As osteotomias são cirurgias que podem ser indicadas quando o paciente é portador de artrose de apenas um dos compartimentos do joelho e um desvio do eixo do membro inferior em varo ou em valgo. O objetivo do procedimento é transferir a carga que passa pelo joelho para uma região com pouco ou nenhum desgaste para que a dor e a função do joelho melhorem. Existem várias técnicas para a realização do procedimento, mas de forma geral uma fratura controlada é realizada no fêmur ou na tíbia e a fixação da osteotomia é feita com placa e parafusos.
ARTROPLASTIA. A artroplastia, também conhecida como cirurgia de prótese do joelho, é a substituição da articulação por componentes de metal e polietileno. A cirurgia está indicada para casos de artrose mais grave, que não têm uma boa resposta aos tratamentos menos invasivos. A prótese pode substituir apenas um compartimento do joelho, que são as próteses unicompartimentais, ou substituir dois ou três compartimentos, que são as próteses totais.

Exemplos de componentes da prótese total de joelho.
A prótese total de joelho é um procedimento frequentemente realizado mundialmente, pois é uma forma definitiva de tratamento, que mostra resultados satisfatórios relacionados a melhora da dor e da função do joelho do paciente. Trata-se de uma cirurgia em que cortes ósseos são feitos tanto no fêmur quanto na tíbia, através dos quais a parte desgastada da articulação é removida. Após a ressecção óssea, componentes metálicos são colocados. Para facilitar o deslizamento da articulação, um componente de polietileno é fixado à base metálica tibial. O componente patelar pode ou não ser feito, a depender da escolha do cirurgião.
Sem dúvida, a cirurgia de prótese de joelho melhora muito a qualidade de vida do paciente portador de artrose grave. Contudo, como todo procedimento cirúrgico, os riscos e benefícios da artroplastia devem ser discutidos entre o médico e o paciente antes da indicação.







